Професійні статті про стоматологію: Апікальна хірургія

10хв
Стаття
Аутотрансплантація зубів
Алена Зедгенидзе
1365
31 липня 2025
19хв
Стаття
Фактори успіху при аутотрансплантації зубів
Алена Зедгенидзе
761
31 липня 2025
24хв
Стаття
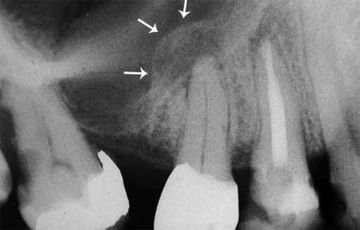
Хірургічне лікування одонтогенного верхньощелепного синуситу
Анастасия Варвянская
1035
08 травня 2025
14хв
Стаття
Ендохірургічне лікування перфоративних верхньощелепних синуситів
Анастасия Варвянская
662
08 травня 2025
7хв
Стаття
Утруднене прорізування зубів
Kseniya Perminova
341
02 вересня 2024