/education-service/media/default/467/bf11da2a.jpg)
Отримайте доступ до цього курсу та 2000+ годин навчання з Premium.
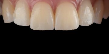
Инновации в протезировании
/education-service/media/default/16508/6c2f0ee1.jpg)
Giuseppe Marchetti
Деталі курсу
Лектори
Отримайте доступ до цього курсу та 2000+ годин навчання з Premium.
...на рік
Розстрочка від NaN undefined на місяць
Що включено до
Цей онлайн-курс
Деталі
Програма уроку
– Протокол создания непрямой реставрации
– Подготовительные этапы
– Дентальная фотография перед протезированием
– Рентгенологическая диагностика
– Постановка диагноза
– Подготовка к протезированию: ортодонтия, хирургия, пародонтология и т.д.
– Препарирование твердых тканей зуба под различные непрямые реставрации
– Разбор клинических случаев. Отдаленные результаты лечения.
Урок включений до наступних курсів:
Prosthodontics
Treatment methods
Direct Restoration
Treatment methods
Stages of treatment
Marketing and Management
Marketing
Отримайте доступ до цього та 1200+ курсів з Premium за.
Лектори 1
Restorative and prosthodontic dentist specializing in aesthetic dentistry and minimally invasive techniques. Co-founder and owner of Studio Dentistico Marchetti in Parma, Italy, established in 2004 with his brother Paolo Marchetti.
Over 30 years of clinical experience focusing exclusively on restorative, conservative, and prosthetic dentistry with particular interest in aesthetic dentistry. Developed techniques for direct and indirect aesthetic restorations that are studied and appreciated internationally. Specialist in conservative approaches combining function and aesthetics through precise material selection and execution.
International lecturer delivering courses and conferences on restorative and aesthetic disciplines both in Italy and abroad. Lecturer at Universities of Siena, Italy, and Marseille, France. Published author of articles on restorative dentistry in national and international peer-reviewed journals. His techniques and clinical approaches have become teaching material for dental professionals worldwide.
DDS from University of Parma (1996, graduated with 110/110 cum laude). Active member of the Italian Academy of Esthetic Dentistry (IAED) and Italian Academy of Conservative Dentistry (AIC). Affiliate of European Academy of Esthetic Dentistry (EAED). Honorary member of Style Italiano (2012-2019). Private practice limited to restorative and prosthetic dentistry.
Організатор

OHI-S
4.72 (25423 оцінок)
OHI-S is the world's leading educational platform for dentists worldwide!
Our core product is training led by the top global speakers in all branches of dentistry. On our platform, you will find courses covering every dental specialty. We offer a comprehensive range of educational formats: congresses, seminars, hands-on workshops, and online courses.
We provide education in 7 languages: English, Spanish, Portuguese, German, French, Ukrainian, Russian.
Our offline projects take place in the most picturesque locations around the world: Kyoto, Florence, Rome, Bologna, Vienna, Berlin, and Prague. Our clients always have a unique opportunity to combine acquiring valuable knowledge with experiencing rich cultural environments.
OHI-S is not just a platform, it’s an entire ecosystem for professionals. Our mobile application, marketplace, and specialized social network connect dentists from all corners of the globe, creating a powerful community for knowledge exchange and collective growth.

/education-service/media/default/5263/bfb250ef.jpg)
/education-service/media/default/16508/6c2f0ee1.jpg)