/education-service/media/default/46005/bd3f4c91.jpg)
Отримайте доступ до цього курсу та 2000+ годин навчання з Premium.
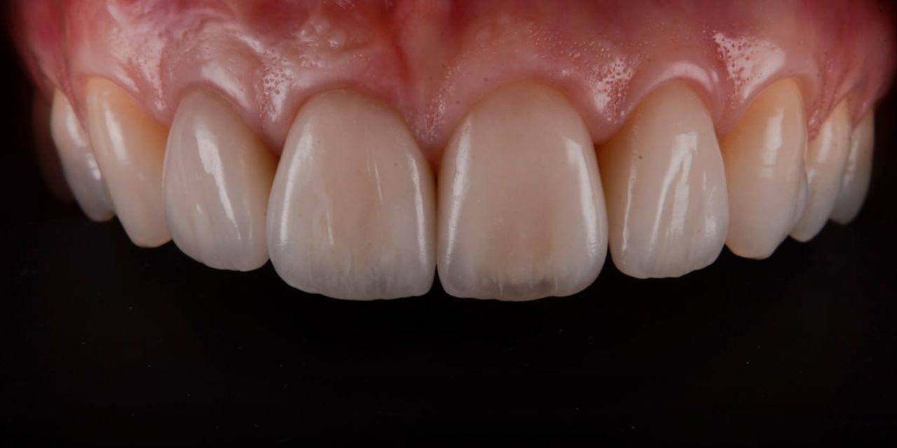
Simulation of the Final Veneer Restoration. DSD, Mock-up and Provisional Veneers
/education-service/media/default/45996/0ebe7372.jpg)
Giacomo Armani
Деталі курсу
Лектори
Отримайте доступ до цього курсу та 2000+ годин навчання з Premium.
...на рік
Розстрочка від NaN undefined на місяць
Що включено до
Цей онлайн-курс
Деталі
46хв
0.75 CE Credits

Англійська
Доступ до запису на період Premium
Програма уроку
– Protocols of digital wax-up and mock-up
– DSD protocols for planning ceramic veneer rehabilitation;
– Protocols of analogue wax-up and mock-up
– Functional loading test using mock-up
– Mock-up technique using a silicon index key
– Clinical steps of manufacturing of provisional veneers
– Analysis of clinical cases.
Recommended for: Prosthodontists, General dentists.
Урок включений до наступних курсів:
Отримайте доступ до цього та 1200+ курсів з Premium за.
Лектори 1
Co-founder and owner of Studio Dentistico Armani, specializing in aesthetic and functional direct and indirect restorations, located in Verona, Italy.
Main subject of interest is minimally invasive prosthodontics and the multidisciplinary approach to aesthetic restorations.
Організатор

OHI-S
4.72 (25401 оцінок)
OHI-S is the world's leading educational platform for dentists worldwide!
Our core product is training led by the top global speakers in all branches of dentistry. On our platform, you will find courses covering every dental specialty. We offer a comprehensive range of educational formats: congresses, seminars, hands-on workshops, and online courses.
We provide education in 7 languages: English, Spanish, Portuguese, German, French, Ukrainian, Russian.
Our offline projects take place in the most picturesque locations around the world: Kyoto, Florence, Rome, Bologna, Vienna, Berlin, and Prague. Our clients always have a unique opportunity to combine acquiring valuable knowledge with experiencing rich cultural environments.
OHI-S is not just a platform, it’s an entire ecosystem for professionals. Our mobile application, marketplace, and specialized social network connect dentists from all corners of the globe, creating a powerful community for knowledge exchange and collective growth.

/education-service/media/default/46001/4f308398.jpg)
/education-service/media/default/45996/0ebe7372.jpg)