/education-service/media/default/1207/b8b13189.jpg)
Заархівований.
Цей контент знято з продажу. Ви можете вибрати навчальні матеріали у нашому каталозі.
The bio-emulation protocols for shade matching in dentistry
/education-service/media/default/34064/be59fd40.jpg)
Javier Tapia-Guadix
Деталі курсу
Лектори
Деталі
Англійська
Програма уроку
Strategies for choosing restoration material
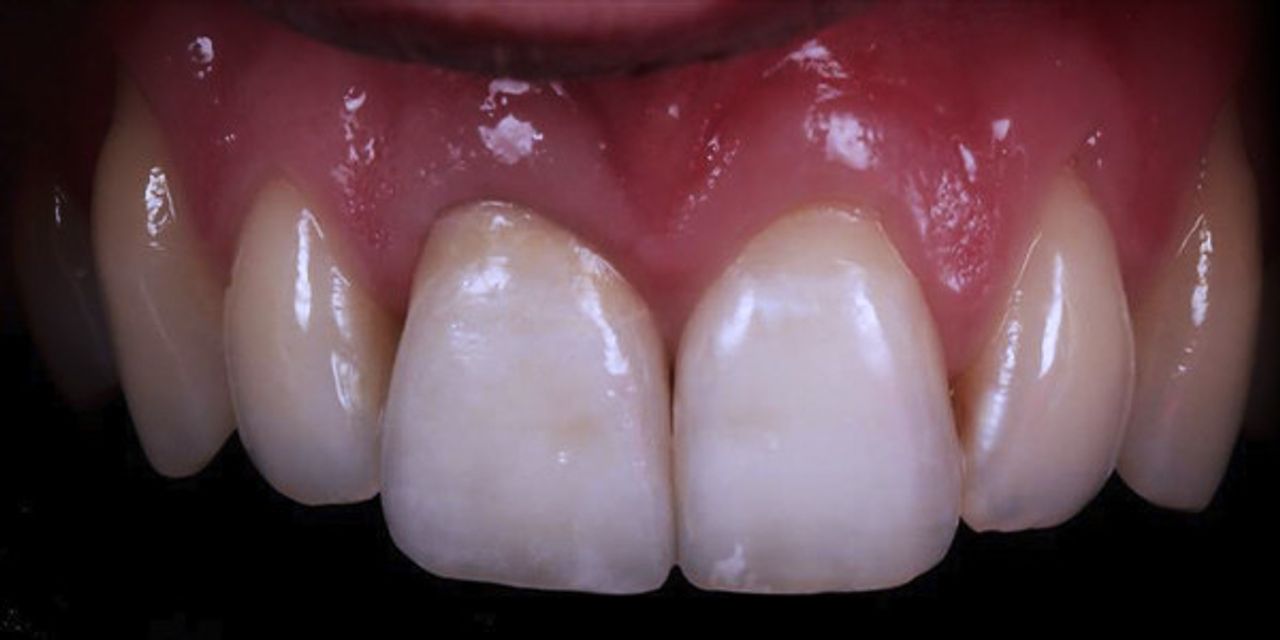
Understanding light interaction with tooth structures as well as proper histo-anatomic principles is essential for a better material and shade selection strategy during restorative procedures. Tooth structures form a complex optical medium for light as it passes through enamel, dentin-enamel junction and dentin. Furthermore, this behaviour changes over the years, as tissues change in morphology and composition.
Bioemulation Concept Philosophy
The Bio-Emulation approach as written in structural analysis and visual synthesis defined the new bases to consider for replication of natural tooth structures with dental materials. The penta_laminar concept represents the ultimate implementation of this philosophy: analysing different ageing stages to build a dynamic shade concept that adapts to nature. However, feasibility of application of this concept is compromised by it’s intrinsic complexity, not accessible to all clinical conditions. By analysing the key factors of natural structure’s ageing process and applying this knowledge to the material selection, it is possible to simplify techniques to make them approachable in all situations.
From a bi-laminar technique to the penta_laminar technique we can learn to adapt our work in order to optimise the clinical outcome achieving cost-effective treatments to cover our patients needs and expectations. Defining proper shade selection strategies for both composites and ceramics is of paramount importance for our daily work. The Bio-Emulation approach provides specific tools designed to increase dramatically the accuracy of our shade matching, including the custom_eyes shade tabs as well as the “state of the art” eLAB protocol for ceramics. Ultimately, a successful treatment will always be the outcome of a good communication with patient and perfect teamwork between dentist and technician.
Лектори 1
Спеціаліст з реставраційної та естетичної стоматології з фокусом на біоміметичних підходах, мінімально інвазивних техніках і цифрових стоматологічних технологіях. Засновник і CEO Juice Dental Media Design, стоматологічної мультимедійної компанії, що спеціалізується на ілюстрації, анімації та розробці додатків для стоматологічної освіти та комунікації. Співзасновник Bio-Emulation group (2011) з Panaghiotis Bazos і Gianfranco Politano, що просуває біологічно направлену реставраційну стоматологію по всьому світу. Підтримує приватну практику в Мадриді, Іспанія, зосереджену на реставраційній стоматології та естетиці.
Понад 20 років клінічного досвіду в прямих і непрямих естетичних реставраціях з використанням біоміметичних технік пошарового нанесення, адгезивних протоколів і принципів науки про колір. Експерт у стоматологічній фотографії, цифровому дизайні посмішки та візуальній комунікації для естетичних випадків. Піонер у розробці цифрових інструментів і освітніх ресурсів для навчання складним стоматологічним концепціям через візуальні медіа.
Член GC Europe Restorative Advisory Board (з 2010), що співпрацює в розробці продуктів і освітніх ініціативах. Офіційний рецензент Journal of Clinical and Experimental Dentistry (з 2014) і International Journal of Esthetic Dentistry (з 2017). Володар Collegiate Merit Award від Spanish College of Dentists, 1st Region (2005), за внесок у Commission of New Technologies. Міжнародний лектор з участю в понад 250 конгресах, практичних курсах і живих демонстраціях на шести континентах. Опублікував численні статті в міжнародних рецензованих журналах про реставраційну стоматологію, стоматологічну фотографію, комп'ютерні додатки в стоматології та біоміметичні техніки. Консультант і розробник продуктів для великих стоматологічних компаній, включаючи GC, Polydentia і Tokuyama.
DDS European University of Madrid, Іспанія (2003). Associate Professor у Department of Prosthodontics у European University of Madrid (2004). Професійне навчання комп'ютерної графіки, 3D-анімації та мультимедійного виробництва. Продовжувана освіта на рівні магістратури зі стоматологічної фотографії та естетичної стоматології з провідними міжнародними експертами.
Організатор

OHI-S
4.72 (25412 оцінок)
OHI-S is the world's leading educational platform for dentists worldwide!
Our core product is training led by the top global speakers in all branches of dentistry. On our platform, you will find courses covering every dental specialty. We offer a comprehensive range of educational formats: congresses, seminars, hands-on workshops, and online courses.
We provide education in 7 languages: English, Spanish, Portuguese, German, French, Ukrainian, Russian.
Our offline projects take place in the most picturesque locations around the world: Kyoto, Florence, Rome, Bologna, Vienna, Berlin, and Prague. Our clients always have a unique opportunity to combine acquiring valuable knowledge with experiencing rich cultural environments.
OHI-S is not just a platform, it’s an entire ecosystem for professionals. Our mobile application, marketplace, and specialized social network connect dentists from all corners of the globe, creating a powerful community for knowledge exchange and collective growth.

/education-service/media/default/34064/be59fd40.jpg)