Заархівований.
Цей контент знято з продажу. Ви можете вибрати навчальні матеріали у нашому каталозі.
Worn dentition treatment the «Index technique» - a new no prep adhesive restorative approach.
Деталі курсу
Уроки курсу
Уроки курсу
Лектори
Деталі
4 уроки
Англійська
Опис
The course you are going to visit combines various topics of direct and indirect restorations, functional dentistry and a digital approach!
Riccardo Ammannato is a true innovator in the world of dentistry! He brought the Index technique for treatment of pathological tooth wear practice without preparation into the dental practice. The technique is already popular around the world!
During the online course the doctor will teach you how to apply:
- A protocol for diagnostics and treatment of complex cases in pathological tooth wear;
- Wax-up for increasing the vertical dimension of occlusion;
- No-prep restoration protocols for anteriors and posteriors.
HIGHLY IMPORTANT! The doctor will introduce you the Index Technique workflow for analog and digital methods!
Урок 1.The 1st webinar of the «Index technique» course.
The evolution of composite materials together with adhesive techniques are meeting the requests of patients, who ask less invasive therapies combined with highly esthetic results in posterior and anterior severe worn dentition. The range of restorative options, is getting wider, thanks to composite that can adequately respond to mechanical stress, offering natural aesthetics and an effective adhesion when treated with specific protocols.
The main goal of this webinar is to provide a protocol to diagnose and treat severe worn dentition through a new no prep approach increasing the VDO: The Index Technique. The webinar will also focus on when and how to bond on worn dentition, additive partial indirect restorations in composite and/or ceramic, depending on the indication.
All the step by step protocols will be addressed through images and videos in order to have a clear over view of this technique through an analog and digital workflow.
Financial costs and sessions for the patient are also very low compared to conventional prosthodontics.
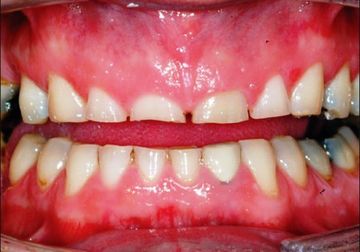
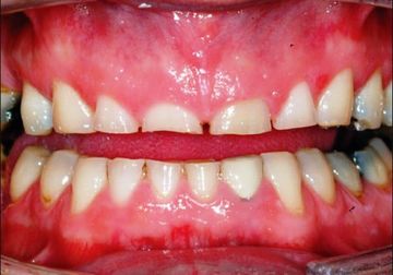
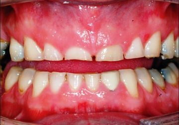
How to diagnose erosion, abrasion attrition and abfraction.
Esthetic and functional analysis.
How to increase the VDO and perform the restorative wax-up.
Anterior and posterior mock-up try in for esthetics, phonetics and function.
How to make the transparent index on the restorative wax-up.
Adhesion on worn dentition.
No prep restorative Copy Paste protocol on the anterior sextants.
No prep restorative Copy Paste protocol on the posterior sextants.
When and how to bond additive partial restorations (composite and ceramic) on severe worn dentition.
Урок 2.The 2nd webinar of the «Index technique» course.
The evolution of composite materials together with adhesive techniques are meeting the requests of patients, who ask less invasive therapies combined with highly esthetic results in posterior and anterior severe worn dentition. The range of restorative options, is getting wider, thanks to composite that can adequately respond to mechanical stress, offering natural aesthetics and an effective adhesion when treated with specific protocols.
The main goal of this webinar is to provide a protocol to diagnose and treat severe worn dentition through a new no prep approach increasing the VDO: The Index Technique. The webinar will also focus on when and how to bond on worn dentition, additive partial indirect restorations in composite and/or ceramic, depending on the indication.
All the step by step protocols will be addressed through images and videos in order to have a clear over view of this technique through an analog and digital workflow.
Financial costs and sessions for the patient are also very low compared to conventional prosthodontics.
How to diagnose erosion, abrasion attrition and abfraction.
Esthetic and functional analysis.
How to increase the VDO and perform the restorative wax-up.
Anterior and posterior mock-up try in for esthetics, phonetics and function.
How to make the transparent index on the restorative wax-up.
Adhesion on worn dentition.
No prep restorative Copy Paste protocol on the anterior sextants.
No prep restorative Copy Paste protocol on the posterior sextants.
When and how to bond additive partial restorations (composite and ceramic) on severe worn dentition.
Урок 3.The 3d webinar of the «Index technique» course.
The evolution of composite materials together with adhesive techniques are meeting the requests of patients, who ask less invasive therapies combined with highly esthetic results in posterior and anterior severe worn dentition. The range of restorative options, is getting wider, thanks to composite that can adequately respond to mechanical stress, offering natural aesthetics and an effective adhesion when treated with specific protocols.
The main goal of this webinar is to provide a protocol to diagnose and treat severe worn dentition through a new no prep approach increasing the VDO: The Index Technique. The webinar will also focus on when and how to bond on worn dentition, additive partial indirect restorations in composite and/or ceramic, depending on the indication.
All the step by step protocols will be addressed through images and videos in order to have a clear over view of this technique through an analog and digital workflow.
Financial costs and sessions for the patient are also very low compared to conventional prosthodontics.
How to diagnose erosion, abrasion attrition and abfraction.
Esthetic and functional analysis.
How to increase the VDO and perform the restorative wax-up.
Anterior and posterior mock-up try in for esthetics, phonetics and function.
How to make the transparent index on the restorative wax-up.
Adhesion on worn dentition.
No prep restorative Copy Paste protocol on the anterior sextants.
No prep restorative Copy Paste protocol on the posterior sextants.
When and how to bond additive partial restorations (composite and ceramic) on severe worn dentition.
Урок 4.The 4th webinar of the «Index technique» course.
The evolution of composite materials together with adhesive techniques are meeting the requests of patients, who ask less invasive therapies combined with highly esthetic results in posterior and anterior severe worn dentition. The range of restorative options, is getting wider, thanks to composite that can adequately respond to mechanical stress, offering natural aesthetics and an effective adhesion when treated with specific protocols.
The main goal of this webinar is to provide a protocol to diagnose and treat severe worn dentition through a new no prep approach increasing the VDO: “The Index Technique”. The webinar will also focus on when and how to bond on worn dentition, additive partial indirect restorations in composite and/or ceramic, depending on the indication.
All the step by step protocols will be addressed through images and videos in order to have a clear over view of this technique through an analog and digital workflow.
Financial costs and sessions for the patient are also very low compared to conventional prosthodontics.
How to diagnose erosion, abrasion attrition and abfraction.
Esthetic and functional analysis.
How to increase the VDO and perform the “restorative” wax-up.
Anterior and posterior mock-up try in for esthetics, phonetics and function.
How to make the transparent index on the “restorative” wax-up.
Adhesion on worn dentition.
No prep restorative «Copy & Paste» protocol on the anterior sextants.
No prep restorative «Copy & Paste» protocol on the posterior sextants.
When and how to bond additive partial restorations (composite and ceramic) on severe worn dentition.
Курс включає уроки:
Організатор

OHI-S
4.72 (25401 оцінок)
OHI-S is the world's leading educational platform for dentists worldwide!
Our core product is training led by the top global speakers in all branches of dentistry. On our platform, you will find courses covering every dental specialty. We offer a comprehensive range of educational formats: congresses, seminars, hands-on workshops, and online courses.
We provide education in 7 languages: English, Spanish, Portuguese, German, French, Ukrainian, Russian.
Our offline projects take place in the most picturesque locations around the world: Kyoto, Florence, Rome, Bologna, Vienna, Berlin, and Prague. Our clients always have a unique opportunity to combine acquiring valuable knowledge with experiencing rich cultural environments.
OHI-S is not just a platform, it’s an entire ecosystem for professionals. Our mobile application, marketplace, and specialized social network connect dentists from all corners of the globe, creating a powerful community for knowledge exchange and collective growth.

/education-service/media/default/1071/7ea01491.jpg)
/education-service/media/default/1072/5d1a6d0f.jpg)
/education-service/media/default/1073/6adb45b4.jpg)
