/education-service/media/default/4897/1566c466.jpg)
Заархівований.
Цей контент знято з продажу. Ви можете вибрати навчальні матеріали у нашому каталозі.
Цикл вебинаров по имплантологии и пародонтологии: Implant-Perio Evolution 2.0
Деталі курсу
Уроки курсу
Уроки курсу
Лектори
Деталі
6 уроків (8г 42хв)
Російська
Опис
- Цикл вебинаров по имплантологии и пародонтологии: Implant-Perio Evolution 2.0
Урок 1.Implant-Perio Evolution 2.0. Биологическое увеличение костной ткани: основы и ограничения
- Внедрение концепции BBA (биологическое увеличение костной ткани с помощью чистой аутогенной кости) и методики расщепления костной ткани (по Khoury)
- Показания и ограничения для проведения методики аугментации
- Латеральное увеличение и работа с мягкими тканями
- Комплексная работа с твердыми и мягкими тканями
- Диагностика и планирование лечения сложных клинических случаев
- Осложнения лечения: до, во время и после выполнения операции
- Забор костного трансплантата
- Профилактика вертикальных дефектов
Урок 2.Implant-Perio Evolution 2.0: Биологическое увеличение костной ткани и техника наслоения
- Поднятие дна ВЧП и подход “Safe Sinus”
- Диагностика и планирование сложных клинических случаев
- Концепция BBA (биологическое увеличение костной ткани) с целью поднятия дна ВЧП
- Одномоментное управление твердыми и мягкими тканями
- Техника наслоения
- Осложнения во время операции и в послеоперационном периоде (перфорации, кровотечение, септы и т.д.)
Урок 3.Implant-Perio Evolution 2.0. Протокол винирной реконструкции: пошаговое использование в эстетической зоне
- Минимально инвазивные методики удаления зубов.
- Инструменты для минимально инвазивного удаления
- Сложное удаление зубов без откидывания лоскута
- Использование Socket grafting
- Выбор материала для графтинга
- Работа с участками костной ткани после удаления зубов с целью минимизации потери контура альвеолярного гребня
- Концепция восстановительной регенерации тканей (RDTR)
- Размещение и направление имплантатов в место экстракции зуба
- Размещение костного материала в место экстракции зуба
Урок 4.Implant-Perio Evolution 2.0: Частичная экстракционная терапия
- Частичная экстракционная терапия
- Техника погружения корня (RST)
- Техника “Pontic shield”
- Техника “Socket shield”
- Манипуляции и технические аспекты
- Ротационные небные лоскуты и шовные техники
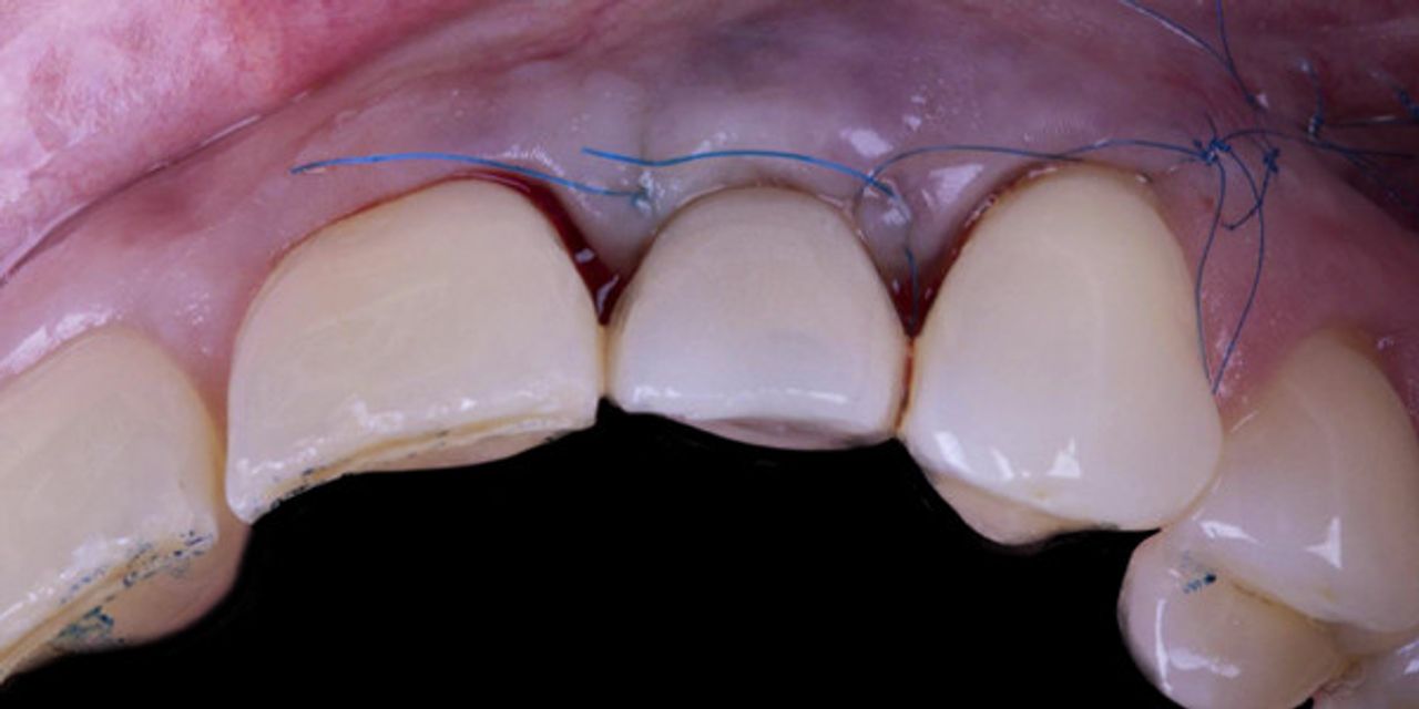
Потеря зубов приводит к резорбции костной ткани, это влияет на дальнейшую необходимость проведения аугментации (как костной, так и мягкотканной). Также это может стать причиной плохой эстетической стабильности в долгосрочной перспективе. Частичная экстракционная терапия (PET) - это методы, которые позволяют нам поддерживать костную ткань и, следовательно, предотвратить коллапс альвеолярной кости, создавая платформу для мягких тканей и кости, которая стабильна в течение длительного времени. Это большая проблема в эстетически значимых зонах.
Урок 5.Implant-Perio Evolution 2.0: Работа с мягкими тканями вокруг имплантатов в эстетически значимой зоне
- Поддерживающий аппарат и альвеолярная кость;
- Зависимость кератинизированной ткани от толщины мягких тканей;
- Мукогингивальная хирургия вокруг имплантатов;
- Мукогингивальный подход в сочетании с немедленной имплантацией и немедленной загрузкой;
- Увеличение мягких тканей и одновременная имплантация в эстетической зоне;
- Мягкотканный подход при имплантации после удаления зуба по причине пародонтита;
- Процедуры увеличения мягких тканей в беззубых областях перед реабилитацией с помощью имплантатов;
- Пошаговый протокол техники split-full-split для коронального продвижения лоскута;
- Пошаговая методика забора трансплантата соединительной ткани;
- Пошаговый протокол техники «connective tissue platform» для увеличения объема мягких тканей.
Урок 6.Implant-Perio Evolution 2.0: Осложнения эстетической имплантации. Уход за конструкциями
Implant-Perio Evolution 2.0: Осложнения эстетической имплантации. Уход за конструкциями
Курс включає уроки:
Показати ще (2)
Організатор

OHI-S
4.72 (25411 оцінок)
OHI-S is the world's leading educational platform for dentists worldwide!
Our core product is training led by the top global speakers in all branches of dentistry. On our platform, you will find courses covering every dental specialty. We offer a comprehensive range of educational formats: congresses, seminars, hands-on workshops, and online courses.
We provide education in 7 languages: English, Spanish, Portuguese, German, French, Ukrainian, Russian.
Our offline projects take place in the most picturesque locations around the world: Kyoto, Florence, Rome, Bologna, Vienna, Berlin, and Prague. Our clients always have a unique opportunity to combine acquiring valuable knowledge with experiencing rich cultural environments.
OHI-S is not just a platform, it’s an entire ecosystem for professionals. Our mobile application, marketplace, and specialized social network connect dentists from all corners of the globe, creating a powerful community for knowledge exchange and collective growth.

/education-service/media/default/1377/753a2260.jpg)
/education-service/media/default/1379/cc9efe13.jpg)
/education-service/media/default/1381/e92a9a53.jpg)
/education-service/media/default/1383/1da8876c.jpg)