Вибір овець (Ovis aries) як модель для дослідження скронево-нижньощелепного суглоба: морфологічна, гістологічна та біомеханічна характеристика диска суглоба
Машинний переклад
Оригінальна стаття написана мовою EN (посилання для прочитання) .
Резюме
Доклінічні випробування є важливими для розвитку наукових технологій. Вражаючі молекулярні та клітинні дослідження були проведені з використанням моделей малих тварин. Однак існують значні відмінності в артicular поведінці між цими моделями та людьми. Таким чином, моделі великих тварин можуть бути більш доречними для проведення випробувань, що стосуються скронево-нижньощелепного суглоба (СНЩС). Метою цієї роботи було провести морфологічну (анатомічна дисекція та система 3D-сканування білого світла), гістологічну (СНЩС в блоці було видалено для гістологічного аналізу) та біомеханічну характеристику (випробування на розтягнення та стиснення) СНЩС овець, порівнюючи отримані результати з даними людей. Результати показали, що processus condylaris і fossa mandibularis овець анатомічно схожі на відповідні структури людини. Диск СНЩС має еліптичний периметр, тонший у центрі, ніж на периферії. Периферійна зона діє як кільцева структура, що підтримує центральну зону. Клітини диска мають як фібробластоподібну, так і хондроцитоподібну морфологію. Краєва зона утворена пухкою сполучною тканиною, з деякими клітинами, схожими на хондроцити, та колагеновими волокнами в різних орієнтаціях. Диски отримали модуль розтягнення 3.97 ± 0.73 МПа та 9.39 ± 1.67 МПа для оцінки в антеропостеріорному та медіолатеральному напрямках. Диски СНЩС продемонстрували модуль стиснення (E) 446.41 ± 5.16 МПа, а їх максимальне значення напруги (σmax) становило 18.87 ± 1.33 МПа. Отримані результати свідчать про те, що ці тварини повинні розглядатися як основна модель для досліджень СНЩС та процедурного навчання. Подальші дослідження в галузі оро-щелепно-лицевої хірургії, що стосуються СНЩС, повинні враховувати овець як хорошу модель тварин через їх схожість з тим же суглобом у людей.
Вступ
Для покращення здоров'я людини наукові відкриття та технології повинні бути переведені в практичні застосування. Такі досягнення класично починаються з базових досліджень, а потім переходять на клінічний рівень. Внутрішньо в розвитку нових технологій лежить роль доклінічних випробувань з використанням моделей тварин. Хоча жодна модель тварини не може повністю відтворити людські умови, моделі тварин є ключовими для оцінки механізмів захворювання, тестування нових технологій та застосування нових процедур. Темпоромандибулярний суглоб (ТМС) є найбільш часто використовуваним суглобом в людському тілі. ТМС відкривається і закривається 1500—2000 разів на день і є суттєвим для повсякденних функцій рота, таких як жування, мова, ковтання, позіхання та хропіння, що вимагає спеціальної обов'язкової синергії обох суглобових сторін. Суставні поверхні є опуклими, і, отже, гладкі рухи суглоба можливі лише завдяки наявності внутрішньосуглобового диска між ними. Диск ТМС є важливим компонентом нормального ТМС і має такі функції: він розподіляє внутрішньосуглобове навантаження, стабілізує суглоби під час трансляції та зменшує зношування суглобової поверхні. Відхилений, деформований або пошкоджений диск ТМС може викликати патологічні процеси внутрішнього порушення та/або остеоартриту. Наразі пацієнти, які страждають від важкої дисфункції темпоромандибулярного суглоба (ДТМС), мають обмежені варіанти лікування. Без безпечних, ефективних імплантатів диска ТМС багато пацієнтів проходять дисцектомію: хірургічну процедуру, яка видаляє пошкоджений диск ТМС з метою зменшення важких симптомів ДТМС. Ця процедура може бути не ідеальною, оскільки ТМС залишається без важливої функціональної структури. Оскільки попередні проблеми, пов'язані з алопластичними матеріалами, що використовуються для заміни диска ТМС, такими як силікон і Proplast-Teflon (PTIPI, Vitek, Inc, Х'юстон, Техас, США), багато груп відмовилися від досліджень у цій галузі. Проте потенційний вплив синтетичного імплантату для тимчасового заміщення ТМС (ТІІ) є величезним. Невдачі синтетичного ТІІ зазвичай пов'язують з недостатніми знаннями про біомеханічні та біохімічні аспекти ТМС. Розробка нових технологій для інженерії каркасів щодо диска ТМС зростає, і ідеальна модель тварини для дослідження ТМС повинна бути добре охарактеризована. Вибір тварини для експериментального дизайну не є простим. Через фізіологічні та анатомічні відмінності між людським ТМС і ТМС експериментальних тварин немає жодної моделі тварини, яка була б дійсною сама по собі. ТМС є кардинальною ознакою, яка визначає клас Mammalia і відокремлює ссавців від інших хребетних. ТМС демонструє вражаючу морфологічну та функціональну варіацію між різними видами, що відображає не лише велику адаптацію ссавців до механізмів харчування, але й різну біомеханічну поведінку. Морфологічні варіації є або кореляціями навантаження (наприклад, розмір суглобових поверхонь), або руху (наприклад, орієнтація суглоба), або обома. Навантаження на ТМС є реакційною силою, що виникає внаслідок скорочення жувальних м'язів; його величина сильно залежить від положення точки укусу відносно лінії дії м'яза. Багато загальновживаних лабораторних тварин, особливо гризуни, потрапляють до категорії мінімального навантаження ТМС, особливо під час жування. На відміну від цього, хижаки, такі як собаки, витримують навантаження ТМС, які вищі, ніж у приматів. Відкриття щелепи зазвичай включає комбінацію обертання та вперед ковзання (трансляції), але деякі хижаки втратили здатність ковзати, а деякі спеціалізовані мурахоїди натомість використовують обертання навколо довгої осі вигнутої щелепи. Найекстремальніші еволюційні варіанти включають:
втрата синовіальної порожнини у деяких китоподібних;
втрата (або, можливо, первісна відсутність) диска у монотремів, деяких сумчастих і деяких беззубих (мурахоїдів і лінивців);
варіації в орієнтації суглобової порожнини від сагітальної (багато гризунів) до поперечної (багато м'ясоїдних);
реверсування звичайних випуклої/ввігнутої взаємозв'язку, так що processus condylaris стає жіночим елементом (багато парнокопитних, таких як вівці та велика рогата худоба).
Крім того, відносний розмір суглоба є надзвичайно змінним. Вівці, кролики та мавпи використовувалися як моделі дефекту диска ТМЖ у багатьох дослідженнях. Модель мавпи майже не використовується в останні роки, враховуючи високу вартість, складність хірургічної операції та етичне схвалення. Кролик є відмінним варіантом для досліджень переднього вивиху диска ТМЖ, але малий розмір ТМЖ ускладнює хірургічний доступ і маніпуляцію диском. Автори погоджуються з іншими дослідженнями, вважаючи, що вівця є дійсним варіантом для досліджень ТМЖ через розмір ТМЖ, форму processus condylaris і fossa mandibularis, розмір диска, морфологію та прикріплення. Однак у доступній літературі бракує глибокої біохімічної та біомеханічної характеристики ТМЖ вівці. Отже, метою даного дослідження було вивчення морфологічних, гістологічних та біомеханічних властивостей дисків ТМЖ, витягнутих з вівці (Ovis aries). Було висунуто гіпотезу, що ці диски матимуть високу схожість з доступними даними про людський ТМЖ.
Матеріали та методи
Матеріал, використаний для цього дослідження, був отриманий від овець, забитих для споживання м'яса. Було використано всього 15 голів самок Чорного Меріно вагою від 40 до 50 кг: 6 для морфологічної характеристики, 4 для гістологічної характеристики та 5 для біомеханічного тестування. Однією з основних вимог для цього дослідження було використання свіжих дисків СКЩ; з цієї причини команда сертифікованих хірургів була доступна 5 днів на тиждень для збору свіжих дисків СКЩ протягом максимум 5 годин після смерті.
Щодо етичних аспектів щодо тварин, дизайн даного дослідження був схвалений Португальською національною службою охорони здоров'я тварин.
Морфологічна характеристика
Для морфологічної характеристики було зібрано 12 свіжих дисків СКЩ з шести голів овець. Було проведено хірургічну дисектомію, що дозволила оглянути та ідентифікувати анатомічні структури СКЩ. Усі м'язові прикріплення були видалені, щоб отримати чисті диски СКЩ. Диски були занурені на 5 хвилин у розчин ColorBond, надшвидко затверджуючий інфільтрат, призначений для швидкого зміцнення 3D-друкованих частин. Це занурення було необхідним для підтримання правильної морфології для 3D-сканування. Для відтворення дисків у 3D-віртуальній моделі використовувалася система 3D-сканування білого світла (Steinbichler — COMET 5®) та відповідне програмне забезпечення. Після видалення дисків два черепи були відварені у воді (120ºC) протягом 2 годин, щоб отримати повні чисті черепи.
Гістологічна характеристика
Для проведення гістологічного дослідження було використано чотири голови овець. СКТ були видалені за допомогою некропсійної кісткової осциляційної пилки відповідно до наступних анатомічних орієнтирів: краніальний — краніальна частина processus coronoideus у розрізі arcus zygomaticus; каудальний — зовні meatus acusticus. Дорсальний орієнтир був встановлений на сквамозній скроневій кістці. Вентральний орієнтир знаходився на 2 см вентрально від meatus acusticus у зоні angulus stylohyoideus.
Суглоби були зафіксовані в 10% буферованому формаліні протягом десяти днів. Декальцинація була досягнута шляхом занурення в 10% мурашину кислоту протягом трьох тижнів, після чого артикуляції були розрізані сагітально та трансверсально через увесь processus condylaris. Після інтенсивного промивання фрагменти були піддані рутинній обробці тканин з парафіновим вкладанням. Чотиримікронні зрізи були забарвлені гематоксиліном та еозином (H&E) та орцеїном для виявлення еластичних волокон у диску. Цифрові зображення були отримані за допомогою камери Olympus DP21.
Біомеханічне тестування
Для біомеханічних досліджень було використано п'ять голів овець. Диски СНЩС були видалені та занурені в сольовий розчин для транспортування до біоінженерних лабораторій (максимум 1 година). Усі м'язові прикріплення та зв'язки були видалені, щоб отримати чистий фіброзно-хрящовий диск. Було отримано десять чистих дисків, але один був виключений через хірургічне пошкодження. Відповідно, 9 дисків були рандомізовані на 3 групи та протестовані в різних механічних випробуваннях: модуль розтягування (E), міцність на розтягування та подовження були протестовані в: антеропостеріорних випробуваннях (APT) та медіолатеральних випробуваннях (MDT).
Випробування на стиснення (CT) проводилися за допомогою тестів на напругу-деформацію. У випадку антеропостеріорного тесту на розтягування, під час навантаження, диски СНЩС розтягувалися в напрямку, представленому на Рис. 1A, тоді як у медіолатеральному тесті на розтягування напрямок розтягування був показаний на Рис. 1B.

Результати
Морфологічна характеристика
У вивчених головах овець ТМЖ був розташований, як і очікувалося, у задньому сегменті бокової частини обличчя, краніовентрально до зовнішнього слухового проходу, будучи діартродіальним, бікондила́рним суглобом, який дозволяє нормальне відкриття та закриття нижньої щелепи. Він складався з верхньої артикуляційної поверхні, ямки mandibularis кістки скроневої та processus condylaris, як нижньої артикуляційної поверхні (Рис. 2 та 6). Було відзначено виступаючий processus coronoideus (Рис. 2).

Верхня артикуляційна поверхня (fossa mandibularis) розташована в нижній зоні скроневої кістки, латерально від foramen ovale та антеріорно від зовнішнього слухового проходу. Fossa mandibularis була більша в антеропостеріорному напрямку, ніж у медіолатеральному, з опуклістю вниз. Нижня артикуляційна поверхня (Рис. 3) представлена процесом condylaris, з еліпсоїдною формою, де довша вісь розташована в медіолатеральному положенні, середні виміри становлять 23.47 мм в довжину (σ = 0.87) та 8.32 мм в ширину (σ = 1.54). Процес condylaris був медіолатерально увігнутим. Fossa mandibularis приймає processus condylaris.

З легким хірургічним підходом автори виявили фіброкартиляжний суглобовий диск, розташований між fossa mandibularis та processus condylaris (Рис. 4). Цей диск відокремлює верхню суглобову порожнину від нижньої. Перша завжди була більшою за другу. Кісткові структури були покриті хрящем, що було більш помітно в processus condylaris.

У вивчених вівцях суглобовий диск мав еліптичну форму, будучи значно тоншим у центрі, ніж на периферії. Регіони диска ТМЖ зазвичай класифікуються як передня смуга, задня смуга та проміжна зона (Рис. 5). Проміжна зона демонструє відмінності від своїх латеральних до медіальних аспектів, часто підрозділяється на латеральну, медіальну та центральну області. Смуги дисків товстіші, ніж проміжна зона.

Середня довжина і ширина 12 проаналізованих свіжих дисків ТМЖ становили 21.23 мм (σ = 1.53) та 11.49 мм (σ = 0.62) відповідно. Товщина передньої та задньої смуг становила 1.05 мм (σ = 0.07) та 1.27 мм (σ = 0.04) відповідно. Середня центральна товщина становила 0.76 мм (σ = 0.09).
Ті ж самі вимірювання, отримані з 3D віртуальних моделей, були абсолютно схожі на зареєстровані у свіжих дисках. Важливим звітом, що узгоджується з усіма ТМЖ, було наявність в'язкої рідини у верхньому та нижньому відділах. Цю рідину не аналізували.
Гістологічна характеристика
Гістологічне дослідження ТМЖ овець виявило, що суглобовий диск був прикріплений спереду та ззаду до суглобової капсули, що складається з волокнистої тканини. Обидві поверхні fossa mandibularis та processus condylaris були покриті фіброзно-хрящовим шаром. Однак фіброзно-хрящовий шар, що покриває processus condylaris, був значно товщим, ніж шар, що покриває fossa mandibularis (Рис. 6).

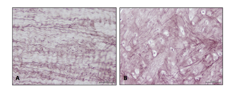
Центральна тонка частина диска складалася з розсіяних фібробластів і щільно упакованих, товстих пучків колагенових волокон, розташованих переважно в антеропостеріорному напрямку. Колагенові волокна не були прямими, а мали хвилястий контур. Передня та задня частини диска, в свою чергу, були зайняті пучками колагенових волокон з різними орієнтаціями (Рис. 7). В деяких областях ці дві частини показували клітини, подібні до хондроцитів, які знаходилися в лакунах, розподілених серед менш компактних колагенових волокон (Рис. 7). Кожна лакуна була оточена мінімальною кількістю аморфної матриці. Задня смуга зливалася, у ретродисковому просторі, з пухкою сполучною тканиною з рясним кровопостачанням і нервовими закінченнями. У всіх частинах диска (Рис. 7) спостерігалися кілька малокаліберних кровоносних судин, оточених пухкою сполучною тканиною. Також в обох передніх і задніх приєднаннях диска були присутні випадкові унілокулярні адипоцити.

Еластичні волокна, позитивні до орцеїну, були виявлені по всьому диску, причому, очевидно, їх було більше в найтоншій центральній частині. У цій ділянці диска еластичні волокна були розташовані переважно паралельно до колагенових пакетів (Рис. 8). Натомість, у передніх і задніх частинах диска еластичні волокна показували ретикульярний розподіл серед колагенових волокон і клітин, подібних до хондроцитів (Рис. 8).

Біомеханічна характеристика
У Таблиці 1, представлені розміри дисків, використаних у механічних випробуваннях.

Випробування на розтягування показали, що диски скронево-нижньощелепного суглоба (TMJ) демонструють різну поведінку в антеропостеріорному та медіолатеральному напрямках (Рис. 9).

Отримані результати продемонстрували, що модуль розтягування медіолатеральних випробувань на розтяг є вищим, ніж у антеропостеріорних випробувань на розтяг, а також міцність на розтяг та подовження при розриві (Рис. 10 та 11).


У Таблиці 2 підсумовано результати, отримані для випробуваних дисків щодо модулю розтягування, міцності на розтяг та подовження при розриві.

Механічні випробування під стисненням були проведені для оцінки макромеханічних характеристик дисків скронево-нижньощелепного суглоба (СНЩС).Рис. 12 демонструє криві напруги-деформації при стисненні протестованих дисків.

Диски ТМЖ мали модуль стиснення (E) 446.41 ± 5.16 МПа, а їх максимальне значення напруги (σmax) становило 18.87 ± 1.33 МПа.
Обговорення
Диск ТМЖ є спеціалізованою фіброзно-хрящовою тканиною, розташованою між processus condylaris та fossa mandibularis, як показано в нашій морфологічній характеристиці овець. У людей диск ТМЖ має еліптичний периметр, тонший у центрі, ніж на периферії. Периферія диска діє як кільцева структура, що підтримує центральну зону. Те ж саме було спостережено в морфології диска овець. Функції диска ТМЖ такі:
покращити відповідність між кістковими поверхнями;
забезпечити стабільність під час рухів нижньої щелепи;
розподілити жувальні сили.
Ця здатність зумовлена високою концентрацією колагенових волокон. Ця кільцева структура навколо диска є важливим структурним аспектом для підтримки з'єднань диска. Зона з'єднання багата еластичними волокнами, що є необхідним для рухливості диска в суглобі. Як було показано в морфологічній характеристиці щелепно-лицевого суглоба овець, ця анатомічна структура виявила кілька подібних характеристик з щелепно-лицевим суглобом у людей, включаючи те, що медіолатеральний діаметр довший за антеропостеріорний, довга вісь processus condylaris спрямована назад, а передній схил condylaris більший. Однією з основних відмінностей є увігнута форма медіолатерального processus condylaris, яка є опуклою у людей. Процесус condylaris формує невелику антеропостеріорну та медіолатеральну депресію, щоб точно вписатися в fossa mandibularis, на відміну від людського processus condylaris, який є округлим антеропостеріорно та медіолатерально. Fossa mandibularis є антеропостеріорно більшою за медіолатеральну з опуклістю вниз, на відміну від fossa mandibularis у людей, яка є увігнутою вгору. Fossa mandibularis дозволяє вільний медіолатеральний рух processus condylaris для жування. Суставний горбок, особлива риса у людей, є недорозвиненим у овець, оскільки шлях руху processus condylaris є медіолатеральним, на відміну від людського, який в основному є антеропостеріорним. У порівнянні, fossa та processus condylaris овець дуже схожі на беззубий людський щелепно-лицевий суглоб, значно пласкіші. Архітектурно, processus condylaris в обох видах також має тонкий зовнішній кортикальний шар, який оточує медулярну кістку, що складається з трабекулярної кістки. Існує також тонкий шар фіброзного хряща, що покриває поверхню condylaris і всю fossa mandibularis, що вказує на частини щелепно-лицевого суглоба, які підлягають найбільшому навантаженню. Взаємозв'язок щелепно-лицевого суглоба з зовнішнім акустичним проходом, foramen ovale та положенням суглобового диска, що розташовується між processus condylaris та fossa mandibularis, подібний до анатомії людського щелепно-лицевого суглоба. Морфологія диска щелепно-лицевого суглоба дуже схожа на диска щелепно-лицевого суглоба людини. Вибір овець як модельного тваринного для досліджень щелепно-лицевого суглоба використовується вже кілька років. Імплантати диска щелепно-лицевого суглоба можуть бути ефективним доповненням у біоінженерній реконструкції суглобів, а тваринні моделі можуть запропонувати можливість проведення інформативних доклінічних досліджень. Однією з найважливіших проблем створення ефективного TII є відтворення біомеханічних характеристик природного диска. Тому інформація про біомеханічні властивості замісного матеріалу є незамінною для подальшого дослідження в тканинній інженерії диска щелепно-лицевого суглоба. Під час рухів нижньої щелепи диск щелепно-лицевого суглоба підлягає безлічі різних режимів навантаження. Диск щелепно-лицевого суглоба поводиться як в'язкоеластична структура, яка діє як поглинач напруги та розподільник напруги. Еластичні волокна відіграють важливу роль, забезпечуючи диску необхідну в'язкоеластичну структуру. Під час кожного типу навантаження диск зазнає деформації, тоді як внутрішні сили виробляються в тканині. Внутрішні сили кількісно визначаються кількістю напруги, яка визначається як сила на одиницю площі в Па (1 Па = 1 Н/м2). Існують лише два дослідження, доступні про диск щелепно-лицевого суглоба великої рогатої худоби, в яких були порівняні розтяжний та стиснений модулі, використовуючи один і той же експериментальний протокол та матеріал. У цих дослідженнях розтяжний модуль коливався між 22 і 26 МПа, а стиснений модуль між 14 і 17 МПа. Дані про диски щелепно-лицевого суглоба свиней, собак та людей доступні в літературі, але методи, що використовуються для отримання та обробки дисків, не завжди зрозумілі. Зазначені розтяжні модулі становлять приблизно 0,5—80 МПа, 20—25 МПа та 40—100 МПа відповідно для вищезгаданих модельних тварин. Щоб оцінити механічну поведінку дисків щелепно-лицевого суглоба овець, автори вперше повідомляють, що вдалося оцінити антеропостеріорний та медіолатеральний розтяжний модуль та стиснений модуль. Використання свіжих дисків щелепно-лицевого суглоба сприяло тому, що результати є репрезентативними для реальності. Рухи нижньої щелепи овець в основному є медіолатеральними, що пояснює кращу продуктивність диска щелепно-лицевого суглоба в підтримці напруги в медіолатеральному напрямку. На завершення, вівці, здається, є відмінною експериментальною моделлю для досліджень щелепно-лицевого суглоба, будучи великим видом з багатьма анатомічними подібностями до людської структури щодо хірургічного підходу, розміру анатомічних структур, форми та положення processus condylaris. Диск щелепно-лицевого суглоба, здається, дуже схожий на диск щелепно-лицевого суглоба людини з точки зору морфології, гістології та біомеханіки. Метою автора є те, що ця робота допоможе подальшим дослідженням у галузі оро-щелепно-лицевої хірургії, проведеним на вівцях як відмінній альтернативі іншим більш традиційним експериментальним тваринним видам, також більш придатним для процедурного хірургічного навчання.
Д.Ф. Анджело, П. Моруко, Н. Алвеш, Т. Віана, Ф. Сантос, Р. Гонсалес, Ф. Монхе, Д. Макас, Б. Карапічо, Р. Соуза, С. Кавако-Гонсалвеш, Ф. Сальвадо, К. Пелетейро, М. Піньйо
Посилання
- Бе Й, Парк Й. Вплив релаксаційних вправ для жувальних м'язів на дисфункцію скронево-нижньощелепного суглоба (ДНЩС). J Phys Ther Sci 2013;5:583—6.
- Аллен КД, Афанасіу КА. Тканинна інженерія диска ДНЩС: огляд. Tissue Eng 2006;12:1183—96.
- Танака Е, Сасаки А, Тахміна К, Ямагуці К, Мори Й, Танн К. Механічні властивості людського суглобового диска та їх вплив на навантаження ДНЩС, досліджені методом скінченних елементів. J Oral Rehabil 2001;28:273—9.
- Мехра П, Вольфорд ЛМ. Міні-якір Mitek для репозиції диска ДНЩС: хірургічна техніка та результати. Int J Oral Maxillofac Surg 2001;30:497—503.
- Аль-Багдаді М, Дерем Дж, Араухо-Соарес В, Робаліно С, Еррінгтон Л, Стіл Дж. Управління зміщенням диска ДНЩС без редукції: систематичний огляд. J Dent Res 2014;93: 37—51.
- Генрі ЧХ, Вольфорд ЛМ. Результати лікування реконструкції скронево-нижньощелепного суглоба після невдачі імплантату Proplast-Teflon. J Oral Maxillofac Surg 1993;51:352—8.
- Вестессон ПЛ, Ерікссон Л, Ліндстром С. Руйнівні ураження кондилярного процесу після дисектомії з тимчасовим силіконовим імплантатом. Oral Surg Oral Med Oral Pathol 1987;63: 143—50.
- Шу В, Лю Л, Бао Г, Кан Х. Тканинна інженерія диска скронево-нижньощелепного суглоба: сучасний стан та майбутні тенденції. Int J Artif Organs 2015;38:55—68.
- Браун БН, Бадилак СФ. Позаклітинна матриця як індуктивна опора для функціональної реконструкції тканин. Transl Res 2014;163:268—85.
- Лаві А, Пеллед Г, Тавакколі В, Касап Н, Газіт Д, Газіт З. Ізоляція та характеристика мезенхімальних стромальних прогениторів з диска скронево-нижньощелепного суглоба. J Tissue Eng Regen Med 2015;1:1—4.
- Чжан С, Яп АУД, То УС. Стовбурові клітини для ремонту та регенерації скронево-нижньощелепного суглоба. Stem Cell Rev 2015;11:728—42.
- Геррінг СВ. Анатомія ДНЩС та тваринні моделі. J Musculoskel Neuron Interact 2003;3:391—4.
- Нейплс ВЛ. Морфологія, еволюція та функція харчування у гігантського мурахоїда (Myrmecophaga tridactyla). J Zool 1999;249:19—41.
- Лі ЙК, Мун ХД. Взаємний вплив жувального апарату, краніофаціальної структури та гомеостазу всього тіла. Med Hypotheses 2012;79:761—6.
- Геррінг СВ, Лю ЗД. Навантаження скронево-нижньощелепного суглоба: анатомічні та in vivo докази з кісток. Cells Tissues Organs 2001;169:193—200.
- Босанкет А, Ісімару Дж, Ефект АНГ, Босанкет А, Госс АН. Вплив експериментальної перфорації диска в скронево-нижньощелепних суглобах овець. Int J Oral Maxillofac Surg 1991;3:177—81.
- Босанкет АГ, Госс АН. Вівця як модель для хірургії скронево-нижньощелепного суглоба. Int J Oral Maxillofac Surg 1987;16:600—3.
- Ісімару Дж, Госс АН. Модель остеоартриту скронево-нижньощелепного суглоба. J Oral Maxillofac Surg 1992;50:1191—5.
- Лонг Х, Госс АН. Модель овець для внутрішньосуглобового перелому кондилю. J Oral Maxillofac Surg 2007;65:1102—8.
- Шимідзу М, Куріта К, Мацуура Х, Ісімару Дж-І, Госс АН. Роль м'язових трансплантатів у анкілозі скронево-нижньощелепного суглоба: короткострокове експериментальне дослідження на овцях. Int J Oral Maxillofac Surg 2006;35:842—9.
- Такайші М, Куріта К, Мацуура Х, Госс АН. Вплив трансплантату вушного хряща в хірургічному лікуванні анкілозу скронево-нижньощелепного суглоба: дослідження на тваринах з використанням овець. J Oral Maxillofac Surg 2007;65:198—204.
- Мацуура Х, Міямото Х, Ісімару Дж, Куріта К, Госс АН. Вплив часткової іммобілізації на реконструкцію анкілозу скронево-нижньощелепного суглоба з автогенним коштокондральним трансплантатом: експериментальне дослідження на овцях. Br J Oral Maxillofac Surg 2001;39:196—203.
- Огі Н, Куріта К, Ісімару Дж-І, Госс АН. Короткостроковий ефект використання замороженого алогенного диска для ремонту остеоартритного скронево-нижньощелепного суглоба овець: попередній звіт. J Oral Maxillofac Surg 1999;57:139—44.
- Танака Е, ван Ейден Т. Біомеханічна поведінка диска скронево-нижньощелепного суглоба. Crit Rev Oral Biol Med 2003;14:138—50.
- Чін ЛП, Акер ФД, Заррінія К. Віскозноеластичні властивості людського диска скронево-нижньощелепного суглоба. J Oral Maxillofac Surg 1996;54:315—8.
- Бік М, Аарнтс МП, Кулстра ДжХ, Фейльцер АД, ван Ейден ТМ. Динамічні властивості людського диска скронево-нижньощелепного суглоба. J Dent Res 2001;80:876—80.
- Танака Е, ван Ейден ТМ, Ван Ейден Т, Біологія СД. Біомеханічна поведінка диска скронево-нижньощелепного суглоба. Crit Rev Oral Biol Med 2003;14:138—50.
- Дель Позо Р, Танака Е, Танака М, Оказакі М, Танн К. Регіональна різниця віскозноеластичної властивості диска великої рогатої худоби в умовах стискального розслаблення. Med Eng Phys 2002;24:165—71.
- Шенгйі Т, Сюй Й. Біомеханічні властивості та орієнтація колагенових волокон дисків ДНЩС у собак: частина 1. Груба анатомія та орієнтація колагенових волокон дисків. J Craniomandib Disord 1991;5:28—34.
- Тенг С, Сюй Й, Ченг М, Лі Й. Біомеханічні властивості та орієнтація колагенових волокон дисків скронево-нижньощелепного суглоба у собак: 2. Механічні властивості розтягування дисків. J Craniomandib Disord 1991;5:107—14.
- Бітті МВ, Бруно МД, Івасакі ЛР, Нікель ДжК. Властивості ортотропії, що залежать від швидкості деформації, чистого та імпульсно навантаженого диска скронево-нижньощелепного суглоба свині. J Biomed Mater Res 2001;57:25—34.

/public-service/media/default/431/gortG_671a1464675a1.jpeg)
/public-service/media/default/427/kGS1A_671a139147732.png)
/public-service/media/default/430/DxsI5_671a145105a71.jpeg)