Нескальпельний ортодонтичний підхід з використанням прозорих елайнерів у дорослого пацієнта з класом III
Машинний переклад
Оригінальна стаття написана мовою EN (посилання для прочитання) .
Вступ
Протягом останнього десятиліття спостерігається помітний сплеск використання прозорих елайнерів, і їхні переваги та вигоди були широко задокументовані. Сьогодні елайнери можуть вирішувати широкий спектр малоклюзій, і складність випадків, які можна ефективно лікувати за допомогою елайнерів, значно зросла.
Ортодонти стикаються з складним завданням, коли мова йде про лікування скелетної малоклюзії класу III. Цей стан може призвести до функціональних та естетичних проблем для пацієнтів. В залежності від тяжкості малоклюзії, варіанти лікування варіюються від ортогнатичної хірургії в поєднанні з ортодонтією для найтяжчих випадків до компенсаторних стратегій, що включають видалення зубів та використання еластиків у камуфляжному ортодонтичному лікуванні. При визначенні найбільш відповідного підходу до лікування важливо враховувати не лише тяжкість малоклюзії, але й такі фактори, як профіль обличчя, потенціал росту, побажання пацієнта та причина звернення за медичною допомогою.
Коли асиметрії присутні на додаток до скелетного класу III, управління випадком стає більш складним. Асиметричні рухи, такі як дисталізація, можуть бути необхідні для компенсації. Хоча дисталізація з фіксованими апаратами може бути складною, прозорі елайнери пропонують надійне рішення для досягнення цього руху. Ця стаття має на меті представити випадок пацієнта зі скелетним класом III з вертикальним перекриттям, який був успішно вилікуваний за допомогою асиметричної дисталізації з використанням прозорих елайнерів та еластиків класу III.
Звіт про випадок
23-річна дольчофаціальна пацієнтка скаржилася на те, що не може правильно жувати. Обстеження обличчя показало опуклий профіль, збільшену висоту нижньої частини обличчя та скелетну клас III (Рис. 1–3). Внутрішньо-ротове обстеження виявило малоклювання класу III правого підрозділу, передній відкритий прикус, відсутність оверденту та зміщення середньої лінії верхньої щелепи приблизно на 3 мм вправо в порівнянні з середньою лінією нижньої щелепи (Рис. 4). Панорамний рентген підтвердив попереднє видалення правого першого премоляра верхньої щелепи та наявність усіх чотирьох третіх молярів (Рис. 5 & 6).




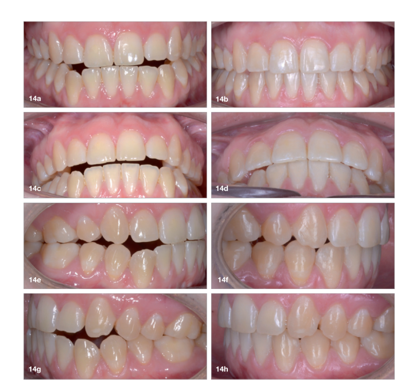
Цілі лікування включали закриття переднього відкритого прикусу, досягнення двостороннього співвідношення класу I за Англом, правильного оверджету та овербайту, корекцію середньої лінії та досягнення гармонізації профілю. План лікування складався з ортодонтичного камуфляжного лікування з асиметричною дисталізацією в трьох з чотирьох квадрантів за допомогою елайнерів Invisalign (Align Technology) та видалення третіх молярів. Було обрано комплексний пакет Invisalign, і було використано 63 пари елайнерів (Рис. 7–10). Кожен елайнер носили по 20 годин на день протягом одного тижня. Було показано використання еластиків класу III з обох сторін. Після цього знадобилося десять елайнерів для доопрацювання, щоб покращити міжзубне прилягання з правого боку (Рис. 11 & 12).






Хоча еластики класу III, як правило, витягують верхні моляри і викликають обертання нижньої щелепи за годинниковою стрілкою, елайнери дозволяють нам запобігти цим ускладненням, оскільки ми маємо кращий контроль над рухом зубів, що дозволяє нам протидіяти небажаним рухам зубів. У цьому випадку планувалося втягнення задніх зубів, що викликало б обертання нижньої щелепи проти годинникової стрілки. Цей вертикальний контроль призвів до закриття переднього відкритого прикусу і зменшення нижньої висоти обличчя, тим самим покращуючи профіль обличчя.
Загальний час лікування становив 15 місяців. Було встановлено співвідношення класу I за Англом разом з адекватним переднім і канінним керівництвом, що забезпечило функціональну оклюзію. Це не лише забезпечує оптимальну жувальну функцію, але й захищає зуби та скронево-нижньощелепний суглоб від надмірних навантажень. Фіксовані утримувачі верхньої та нижньої щелепи були встановлені в кінці лікування (Рис. 13–19).







Висновок
Цей клінічний випадок показав, що за наявності всебічної діагностики, належного планування та дотримання рекомендацій пацієнта, елайнери з еластиками є ефективною та результативною альтернативою лікуванню асиметричної класу III малоклюзії. Елайнери дозволяють ефективну дисталізацію у пацієнтів з переднім відкритим прикусом або гіпердивергентними патернами, мінімізуючи ризик погіршення вертикальних проблем.

/public-service/media/default/502/niTne_671f5bd12caa2.jpg)
/public-service/media/default/492/X8jD1_671f58d712828.png)
/public-service/media/default/501/7eozY_671f5bbac5b32.jpeg)
/public-service/media/default/503/IFtXR_671f5beb7d971.jpg)